IGIENE DENTALE A TORINO
Pulizia profonda, ma senza fastidi? Oggi si può
Dimentica il fastidio della detartrasi tradizionale, noi di Studio Bernini utilizziamo la GBT, un’innovativa tecnica di igiene dentale che unisce efficacia e delicatezza per rimuovere il tartaro in modo non invasivo, rispettando denti e gengive.
Siamo a 2 minuti da Metro Bernini
Convenzioni con assicurazioni sanitarie
finanziamenti in sede
igiene dentale a torino
Cos’è la tecnica GBT?
Nel nostro studio dentistico a Torino utilizziamo la GBT (Guided Biofilm Therapy) una tecnica efficace ma meno invasiva rispetto alle tecniche tradizionali, il che la rende adatta anche per i pazienti con sensibilità dentale e gengivale.
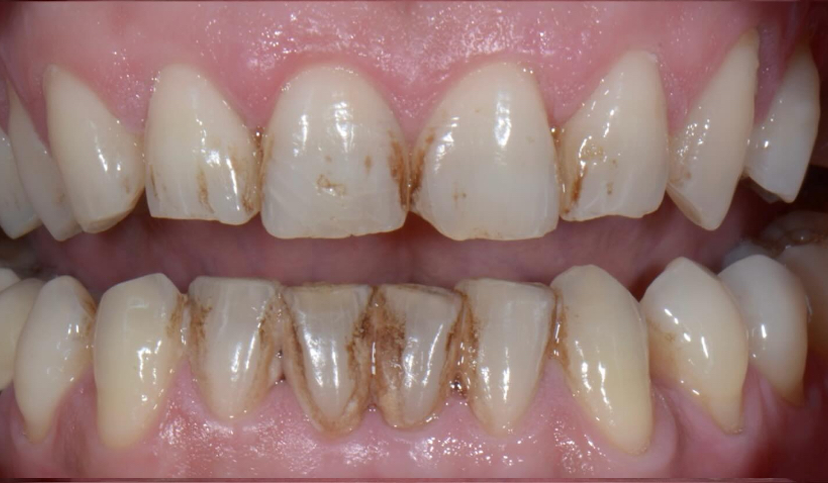
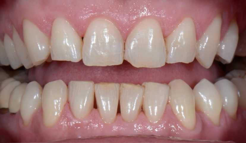
Utilizza un sistema di rilevamento del biofilm e strumenti moderni come l’AirFlow® (con polveri di glicina o bicarbonato, a seconda delle necessità) per rimuovere placca, tartaro e macchie in modo mirato e delicato. Il risultato? Denti puliti, gengive sane e un’esperienza molto più piacevole.
- Ideale anche per chi ha denti o gengive sensibili
- Migliora l’igiene orale profonda senza fastidi
- Riduce il rischio di gengiviti, carie e parodontite
Lo studio dentistico Bernini è convenzionato con
detartrasi a torino
Cosa comprende la seduta
- Rimozione del biofilm e delle macchie con AirFlow®
- Ablazione del tartaro residuo con ultrasuoni (senza tecniche invasive)
- Pulizia interdentale per raggiungere gli spazi più difficili
- Lucidatura dei denti per una superficie liscia e luminosa
- Istruzioni personalizzate per l’igiene dentale a casa
- Durata: 45-60 minuti
- Frequenza consigliata: ogni 4-6 mesi
- Costo: 85€
studio dentistico bernini
Cosa troverai nel nostro studio
- Specialisti in igiene dentale e patologie orali: un team dedicato alla prevenzione e alla salute della bocca.
- Controllo costante dei pazienti: ogni seduta di igiene è anche un check-up mirato
- Pagamenti flessibili con Pagodil: rateizzazioni fino a 24 mesi, senza interess
domande frequenti
La Dottoressa Martina risponde
Ogni quanto va fatta la detartrasi e quanto costa il trattamento?
Posso fare la detartrasi in gravidanza?
Sì, anzi è consigliata. L’infiammazione gengivale è comune durante la gravidanza e una buona igiene dentale aiuta a tenerla sotto controllo in modo sicuro.
I cambiamenti ormonali tipici di questo periodo possono alterare la flora batterica orale, favorendo infiammazione, sanguinamento gengivale e la comparsa dell’epulide gravidica (un’escrescenza benigna delle gengive).
É possibile fare la detartrasi anche con la protesi dentale?
Quando iniziare con l’igiene dentale nei bambini?
Differenza tra pulizia denti e sbiancamento
Dicono di noi
Che posso dire , Bravissime e professionali
Simpatiche e soprattutto Gentili
Consiglio questo Studio Dentistico!
Un grazie ancora a tutto il personale dalla receptionist, all'igienista dentale e alla dottoressa, tutte simpaticissime gentili e stra premurose 🙂
Tutti questi lavori effettuati sono stati meno invasivi di quanto pensassi.
Spiegano tutto nel dettaglio e rispondono in maniera completa ai dubbi che possono venire.
Dopo aver cambiato diversi dentisti posso dire di aver trovato il posto perfetto, dove mi trasmettono sicurezza in quello che fanno e danno certezze.
Il mio è stato un percorso lungo e laborioso, ma con loro lo rifarei di certo.
Avrei voluto conoscerli prima!
Prenota la tua prima visita
Compila il form con i tuoi dati e con le tue preferenze e ti ricontatteremo entro 24 ore per fissare l’appuntamento.
















